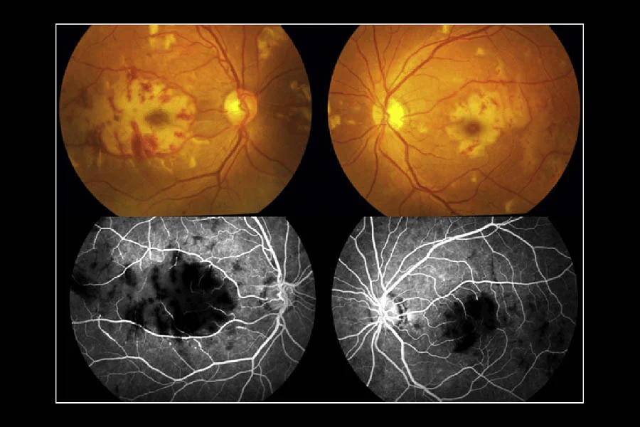
Fundus Fluorescein Angiography (FFA)
Fundus Fluorescein angiography (FFA) is when your ophthalmologist uses a special camera to take pictures of your retina after injecting a dye in your blood. These pictures help your ophthalmologist get a better look at the blood vessels and other structures in the back of the eye.
FFA SIDE EFFECTS?
Mild nausea, vomiting, Itching at injection site Your skin may look a bit yellow for a few hours Your urine may look orange or dark yellow for up to 24 hours afterwards. (kidneys filter the dye).
